Τι είναι το Σύνδρομο αποτυχημένου χειρουργείου (Failed back surgery syndrome)

Οι ασθενείς συχνά υποβάλλονται σε χειρουργικές επεμβάσεις στην σπονδυλική στήλη για ανατομικές ή εκφυλιστικές βλάβες. Το σύνδρομο αναφέρεται σε ανάπτυξη χρόνιου πόνου στον αυχένα, στη ράχη ή στη μέση μετά από αντίστοιχες χειρουργικές παρεμβάσεις.
Ποια είναι τα αίτια του συνδρόμου
Τα αίτια του συνδρόμου εξαρτώνται από τον τύπο και την πορεία της επέμβασης, υπάρχουν ωστόσο και περιπτώσεις, όπου ακόμη και μετά από μια επιτυχή έκβαση, ο ασθενής αναφέρει μακροχρόνιο πόνο, χωρίς να μπορεί να αναδειχθεί επαρκώς το υποκείμενο πρόβλημα. Ο πόνος μπορεί να είναι μηχανικός από κακή φόρτιση, νευροπαθητικός από πίεση ή τραυματισμό νευρικών δομών, λειτουργικός από δυσλειτουργία της ουροδόχου κύστης και του εντέρου ή και ψυχογενής.
Μια ενδελεχής αξιολόγηση των ενδεχόμενων επιπλοκών και των πιθανών αιτιών των συμπτωμάτων, επιτρέπει στον γιατρό να κατανοήσει και να θεραπεύσει το σύνδρομο. Θεραπευτικοί στόχοι είναι η λειτουργική αποκατάσταση του ασθενούς, η βελτίωση της ψυχολογίας του, η μείωση κατανάλωσης φαρμάκων και η σύντομη επάνοδος στην καθημερινότητα και στην εργασία του.
Ποιες είναι οι επιπλοκές μιας χειρουργικής παρέμβασης που οδηγούν σε ανάπτυξη του συνδρόμου
- Η υποτροπή της κήλης μεσοσπονδυλίου δίσκου
- Η πίεση ή παγίδευση νευρικών δομών από ανάπτυξη ουλώδους ιστού
- Η νόσος του παρακείμενου διαστήματος (κήλη διπλανού δίσκου)
- Η κακή γωνία στήριξης του σπονδυλικού άξονα
- Η κακή τοποθέτηση, μετατόπιση ή θραύση υλικών σπονδυλοδεσίας
- Η αποσταθεροποίηση (ανάπτυξη αστάθειας) της σπονδυλικής στήλης
- Η ανάπτυξη αραχνοειδίτιδος
- Η ψευδάρθρωση (αδυναμία πόρωσης)
Ποια είναι η κατάλληλη θεραπευτική προσέγγιση
Σε πολλές περιπτώσεις η θεραπευτική αντιμετώπιση απαιτεί αναθεωρητική χειρουργική παρέμβαση, προς διόρθωση των επιπλοκών.
Στις ελάχιστα παρεμβατικές τεχνικές αντιμετώπισης του Failed Back Surgery Syndrome ανήκουν:
- Η επισκληρίδια οσφυϊκή ή ουραία και η διατρηματική επισκληρίδια έγχυση
- Η διέγερση νωτιαίας ρίζας με χρήση παλμικής ραδιοσυχνότητας
- Η επισκληρίδια εφαρμογή παλμικής ραιοσυχνότητας
- Η έγχυση στεροειδούς στις αρθρώσεις της σπονδυλικής στήλης ή/και στις ιερολαγόνιες αρθρώσεις επί παθολογικής φόρτισης
- Η απονεύρωση των αρθρώσεων της σπονδυλικής στήλης ή των ιερολαγονίων αρθρώσεων με χρήση ραδιοσυχνοτήτων ή κρυονευρόλυσης
- Ο νευρικός αποκλεισμός των cluneal nerves στην λαγόνια ακρολοφία
- Η επισκληριδιοσκόπηση με εισαγωγή καθετήρα και διαλύματος για τη λύση συμφύσεων
- Η διέγερση του νωτιαίου μυελού με εμφύτευση νευροδιεγέρτη
- Η εμφύτευση ενδοραχιαίας αντλίας πόνου
Τι είναι η Ουραία επισκληρίδιος έγχυση
Στην ουραία επισκληρίδιο έγχυση υπό ακτινοσκοπική καθοδήγηση, εισάγεται ένας καθετήρας μέσω του ιερού τρήματος και προωθείται έως το επίπεδο στης κατώτερης οσφυϊκής μοίρας, όπου γίνεται η έγχυση διαλύματος τοπικού αναισθητικού και στεροειδούς.

Τι είναι η Διατρηματική επισκληρίδιος έγχυση
Στην διατρηματική έγχυση, υπό ακτινοσκοπική καθοδήγηση, το φαρμακευτικό διάλυμα χορηγείται απευθείας στο σημείο εξόδου της νευρικής ρίζας, για την αντιμετώπιση του ριζιτικού άλγους.

Τι είναι η διέγερση νευρικής ρίζας με εφαρμογή παλμικής ραδιοσυχνότητας
Πρόκειται για μια ελάχιστα επεμβατική πράξη, όπου μια ειδική βελόνα με ενσωματωμένο ηλεκτρόδιο εισάγεται στο σπονδυλικό τρήμα στο επίπεδο του ραχιαίου γαγγλίου της οπίσθιας ρίζας. με χρήση παλμικής ραδιοσυχνότητας γίνεται η διέγερση του γαγγλίου, με στόχο την τροποποίηση της μεταφοράς και αντίληψης των επώδυνων μηνυμάτων.

Τι είναι η νευρόλυση των σπονδυλικών αρθρώσεων
Πρόκειται για μια τεχνική απονεύρωσης των αρθρώσεων της σπονδυλικής στήλης μέσω κατάλυσης των μέσων νευρικών κλάδων που είναι υπεύθυνοι για τη νεύρωση κάθε άρθρωσης. Γίνεται μέσω εμφύτευσης ειδικών βελόνων με εμφυτευμένο ηλεκτρόδιο και χρήση κρύου ή θερμότητας για την καταστροφή των αισθητικών νευρικών κλάδων.

Τι είναι η έγχυση και η απονεύρωση της ιερολαγόνιου άρθρωσης
Η έγχυση αφορά στη χορήγηση διαλύματος τοπικού αναισθητικού και κορτιζόνης απευθείας στο κατώτερο τμήμα της ιερολαγονίου άρθρωσης υπό ακτινοσκοπική καθοδήγηση. Η απονεύρωση γίνεται με χρήση θερμοπηξίας ή κρυοπηξίας και στοχεύει στην κατάλυση των αισθητικών κλάδων που τροφοδοτούν την ιερολαγόνιο άρθρωση, οι οποίοι βρίσκονται παραπλεύρως κάθε ιερού τρήματος.

Τι είναι ο νευρικός αποκλεισμός των cluneal nerves
Τα κλονικά νεύρα βρίσκονται στην παρυφή της λαγονίου ακρολοφίας 6-8εκ από τη μέση γραμμή και αποτελούν συχνή πηγή μετεγχειρητικού πόνου μετά από σπονδυλοδεσίες. Στα νεύρα αυτά μπορεί να γίνει τοπική έγχυση αναλγητικού διαλύματος ή απονεύρωση με χρήση θερμοκαυτηρίασης ή κρυοπηξίας.

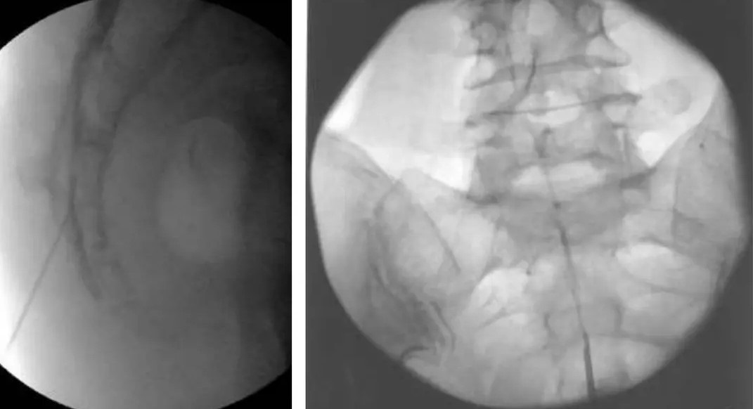
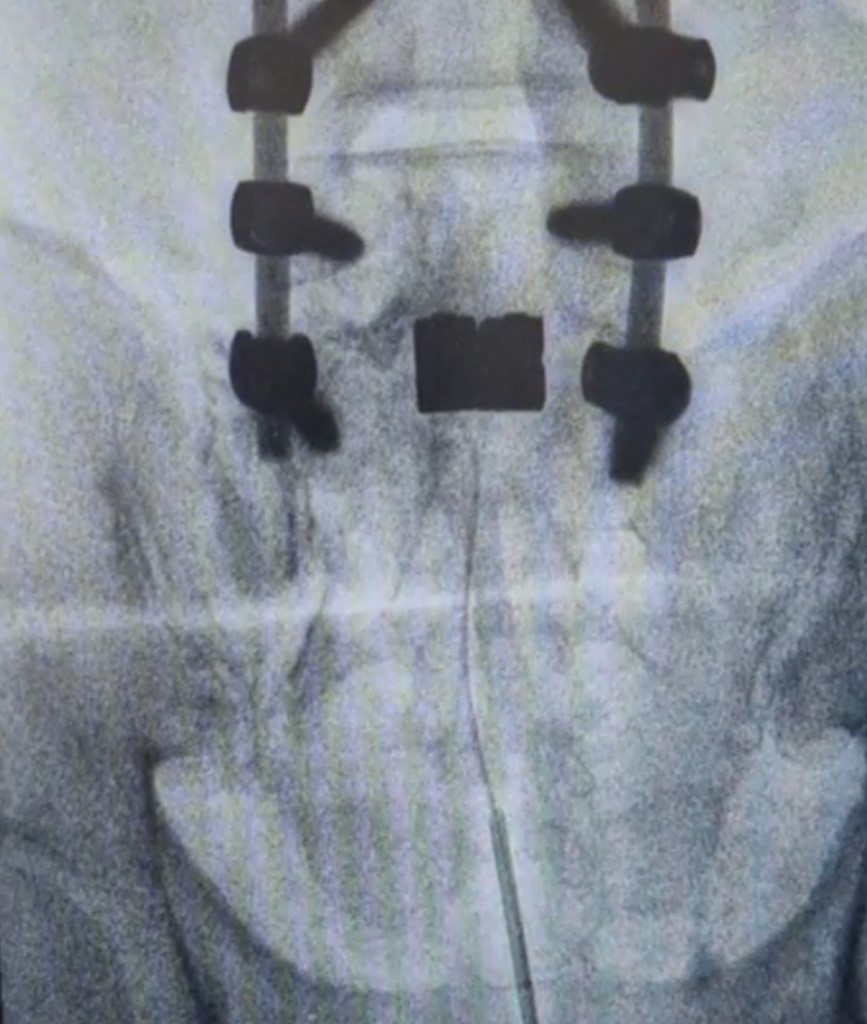
Τι είναι η Επισκληριδιοσκόπηση
Πρόκειται για μια ελάχιστα επεμβατική τεχνική λύσης μετεγχειρητικών συμφύσεων με εισαγωγής ενός εύκαμπτου ενδοσκοπίου στην οσφυϊκή μοίρα μέσω του ιερού τρήματος. Με χρήση διαλύματος υαλουρονιδάσης και φυσιολογικού ορού επιτυγχάνεται οι λύση συμφύσεων, με σύγχρονη απελευθέρωση των νευρικών δομών.

Τι είναι η εμφύτευση διεγερτή επισκληρίδιας ή περιφερικής νευρικής διέγερσης
Πρόκειται για ελάχιστα επεμβατικές τεχνικές νευροτροποποίησης, δηλαδή αλλαγής του τρόπου αντίληψης του επώδυνου ερεθίσματος. Αυτό γίνεται με εμφύτευση ηλεκτροδίων επισκληριδίως (επισκληρίδια νευροδιέγερση) ή υποδορίως (περιφερική νευροδιέγερση) ανάλογα με την κατανομή του μετεγχειρητικού άλγους.

Τι είναι η διέγερση του επισκληρίδιου χώρου με παλμική ραδιοσυχνότητα
Πρόκειται για μια ελάχιστα επεμβατική νέα τεχνική αντιμετώπισης του μετεγχειρητικού πόνου με χρήση ενός διπολικού καθετήρα με εύκαμπτο, κατευθυνόμενο ενεργό άκρο, που διεγείρει νευρικές δομές του επισκληρίδιου χώρου μέσω χρήσης παλμικής ραδιοσυχνότητας. Μέσω αυτού μπορούν να εγχυθούν και διαλύματα για αναλγησία ή συμφυσιόλυση. Ο καθετήρας εισάγεται στον επισκληρίδιο χώρο μέσω του ιερού τρήματος.
